О пневмотораксе: спонтанном, искусственном и при туберкулезе — СтопТубик

О пневмотораксе: спонтанном, искусственном и при туберкулезе

Внезапная боль в груди, затрудненный вдох и выдох, зачастую возникает при травме грудной клетки и заболеваниях дыхательной системы. Эти неприятные симптомы могут говорить о серьезном осложнении, угрожающем жизни, — пневмотораксе. Для людей, не имеющих медицинского образования, пневмоторакс — это что-то из области непонятных научных терминов, однако каждый должен знать его признаки, дабы в экстренной ситуации не растеряться, и как можно скорее принять действенный меры до приезда скорой.

Что такое пневмоторакс

ПатогенезНазвание данному патологическому состоянию дали два древнегреческих существительных, дословно означающих «воздух в груди/панцире». Уже во времена античности греческие эскулапы знали, как опасно присутствие воздуха, свободно находящегося в области грудины, — там, где его быть не должно.

В норме плевральное пространство напоминает узкий зазор между наружным и внутренним листками плевры. Пневмоторакс, напротив, — это проникновение воздуха, или газов в плевральное пространство, чего быть в норме не должно. Из-за этого происходит расширение плеврального пространства и поджатие легкого, вследствие чего страдает процесс дыхания, вплоть до полной остановки.

Размер образовавшегося воздушного пузыря может быть разным (от небольшого, до огромного). Все зависит от эластичности тканей плевры  пациента, размера отверстия и наличия сращений между листками плевры.

Причины

Воздух может проникнуть в пространство вокруг лёгких по многим причинам:

  • спонтанно — при хронических заболеваниях органов дыхания;
  • внезапно — при механических повреждениях анатомической целостности плевральной области или легочной ткани (проникающие и закрытые травмы);
  • неосторожно – при врачебных ошибках (ятрогении);
  • намеренно, в качестве лечебной меры вызываться медицинскими специалистами в целях купирования угрожающих жизни состояний.

Причины спонтанного пневмоторакса:

  • буллёзная болезнь;
  • муковисцидоз, обструктивная болезнь
  • пневмония, туберкулез;
  • заболевания средостения;
  • воспалительные процессы соединительной ткани;
  • эндометриоз груди;
  • онкология.

Ятрогенный тип выступает как осложнение, наступившее вследствие манипуляций диагностического и лечебного толка:

  • катетеризация центральной вены;
  • трансбронхиальная эндоскопия в целях взятия образца ткани легкого;
  • пункция плевры;
  • баротравма, наступившая в процессе принудительной вентиляции легких и т.д.

В качестве лечебной меры раньше в медицинской практике воздух в плевральную полость вводили намеренно, чтобы помочь пациенту при туберкулезе кавернозного типа, обеспечивая уменьшение объема легкого, чтобы закрыть каверну.

Виды пневмоторакса

Медицинская классификация пневмоторакса основывается на причинах возникновения пневмоторакса. Основываясь на провоцирующем факторе (самостоятельное возникновение или вызванное медперсоналом) классификация делит его на: спонтанный пневмоторакс и искусственный пневмоторакс.

Таким образом, в зависимости от фактора, приведшего к попаданию воздуха в полость плевры, состояние дифференцируют на:

  • посттравматическое;
  • послеоперационное;
  • спонтанное;
  • искусственное (в лечебных и диагностических целях).

По тяжести последствий скопление воздуха в загрудинной области бывает:

  • парциальным, или частичным, — легкое при этом спадает на четверть, на треть, и даже на половину своего объема;
  • тотальным, или полным, — легкое сжимается до минимального объема;
  • клапанным, или напряженным, — самая тяжелая степень, характеризуется скоплением такого большого объема воздуха, что в силу высокого давления происходит критическое смещение всего средостения, из-за чего может возникнуть рефлекторная остановка сердца, воздух поступает в плевру при каждом вдохе и не выходит при выдохе наружу.

Еще одна классификация основана на наличии сообщения полости плевры с внешней средой:

  • закрытый тип — сообщение отсутствует, поступление воздуха, как правило, однократное;
  • открытый тип — при котором воздух входит в полость из внешней среды, и «выдавливается» в нее при выдохе, — наблюдается эффект парадоксального дыхания и гемопневмоторакс (к воздуху примешивается кровь);
  • клапанный тип — сообщение с внешней средой есть лишь при вдохе.

Клапанный тип пневмоторакса, в зависимости от того, где локализуется клапан, — в самом легком, или ране  в грудной клетке, подразделяется на внутренний и наружный.

Спонтанный пневмоторакс

Как правило, пневмоторакс спонтанный имеет следующие виды в зависимости от причин возникновения:

  • первичный или идиопатический, не связан с обострением хронических патологий, а возникает из-за нарушения целостности плевральной оболочки, в которую начинает проникать воздух из внешней среды или из травмированных легких;
  • вторичный или симптоматический, основные причины возникновения — осложнения различных заболеваний дыхательной системы.

Причиной спонтанного пневмоторакса может стать неправильно выбранная тактика лечения, или неумелые манипуляции медицинского персонала, он всегда внезапный по своему появлению.

Искусственный пневмоторакс

Или  ятрогенный вызывается медицинскими специалистами, принудительно выводящими воздух в плевральную полость из пораженных болезнью легких.

Например, искусственный пневмоторакс возникает как следствие таких медицинских манипуляций на  легких, как:

  • торакоцентез;
  • взятие пункции из легочной ткани;
  • операционные вмешательства.

Диагностика

В основе адекватной диагностики лежит умение распознавать признаки пневмоторакса, которые при отсутствии опыта можно легко спутать с симптомами других болезненных состояний.

Следует иметь в виду, что выраженность симптоматики напрямую зависит от объема и скорости наполнения плеврального пространства газами: закрытый пневмоторакс распознать сложнее, чем открытый.

С целью постановки диагноза при подозрении на спонтанный пневмоторакс врач прибегает к физикальной диагностике.

Дифференциальную диагностику пневмоторакса от других заболеваний легких и неотложных состояний начинают с общего осмотра больного:

  • состояние в целом удовлетворительное, при напряженном пневмотораксе — критическое;
  • характерное положение пациента – он сидит, немного наклонившись, и держится руками за какую-либо поверхность;
  • кожные покровы обычного цвета, или слегка бледные, при напряженной форме наблюдается интенсивный цианоз и явление «чугунной кожи»;
  • артериальное давление нормальное, либо незначительно понижено;
  • частота пульса повышенная, от 90 до превышающих 140 ударов в минуту при напряженной форме;
  • при актах вдоха-выдоха наблюдается асинхронность дыхательных движений на разных сторонах грудной клетки.

Основными способами физикального обследования будут:

  • перкуссия;
  • метод пальпации;
  • аускультация.

Все способы применяются с тем, чтобы врач, проводящий обследование пациента с помощью собственных органов чувств, оценил его состояние исходя из звуковых и тактильных ощущений.

Лабораторные анализы с диагностической целью проводят только в комплексе с другими методами исследования.

Метод перкуссии

Врач простукивает  область над ребрами, если в плевральной полости имеется скопление воздуха, перкуторный звук будет громкий, по высоте — средний или высокий, так называемого тимпанического характера.

Иногда отмечается наличие коробочного звука, как из пустой коробки.

Метод пальпации

Диагностика пневмоторакса с помощью метода пальпации осуществляется посредством прощупывания грудной клетки пальцами врача. Над областью возможного скопления газов, пациент будет ощущать болезненность.

Метод аускультации

При выслушивании отмечается:

  • ослабление дыхательных шумов;
  • существенное ослабление дыхания;
  • если пневмоторакс напряженный, на вдохе слышны всхлипы и хлопающие звуки, а выдох совершенно беззвучен.

Пневмоторакс бывает левосторонний или правосторонний, — на соответствующей стороне вдох может совсем не прослушиваться.

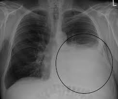
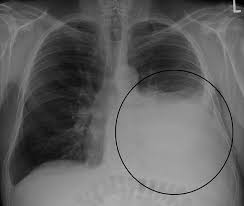
Рентгенологическое исследование

поджатое легкое на рентгенеДовольно часто закрытый пневмоторакс затруднительно достоверно определить, исходя из одних лишь симптомов и физикального обследования. В таких случаях точный диагноз ставится после изучения рентгеновских снимков пораженной области.

Сделанная в стационаре рентгенограмма легких и плевральной полости позволяет с высокой степенью точности выявить спонтанный пневмоторакс по областям воздушных скоплений на снимке.

Рентгенологические признаки, которыми проявляется пневмоторакс на рентгенограмме в прямых и боковых проекциях, представлены:

  • просветленными областями из-за спадения легочной ткани;
  • легочной рисунок плохо виден или не просматривается совсем;
  • снимок, сделанный на вдохе, отличен от снимка на выдохе (заметно небольшое распрямление легкого).

Часто на рентгене запечатлено разной степени спадения поджатое легкое, смещенное в сторону средостения.

Кроме того, дифференцировать воздух в грудной клетке в условиях больницы возможно с помощью компьютерной томографии, выявляющей не только присутствие газа, но и причины его попадания.

Симптомы

Характерное состояние больного, возникающее при наличии воздуха в пространстве вокруг легких, проявляется в:

  • болях разной степени интенсивности, локализованных в верхней части туловища, в зарёберном пространстве;
  • цианозе;
  • появление сухого, или с небольшой мокротой, кашля;
  • тахикардии;
  • затрудненном, с хрипами, дыхании, появлении отдышки, невозможности сделать полный вдох или выдох, остром ощущении недостаточности кислорода;
  • межреберной невралгии;
  • головной боли, резкой слабости, головокружении;
  • увеличении размеров шеи, лица, грудной клетки.

Лечение

Во всех случаях возникновения скопления воздуха в пространстве легких алгоритм для помощи пациенту одинаков, и основывается на принудительном поддержании жизнеспособности организма, испытывающего затруднение с естественным процессом дыхания.

Для  лечения спонтанного пневмоторакса используют те же методы, что и при искусственном.

Чтобы адекватно лечить, например, двусторонний пневмоторакс, необходимо определиться с тактикой, которая зависит от вида пневмоторакса.

Если у пациента ограниченный пневмоторакс небольшой степени закрытого типа, допустимо ограничиться выжидательным консервативным лечением: больному купируют сильные боли, и ограничивают физическую активность.

Если скопление газов значительное, пациенту показан дренаж, дополненный пассивной аспирацией аппаратом Боброва.

Неотложная помощь при спонтанном пневмотораксе требует оперативного вмешательства. В целях радикальной помощи лечение пневмоторакса при явной угрозе жизни осуществляется откачиванием воздуха во время торакотомии, вручную или с применением электрического насоса.

Используемая игла для пневмоторакса имеет:

  • тупой конец (широкопросветная игла);
  • диаметр от 1,5 до 2,5 миллиметра.

Прокалывание производится по срединно-ключичной линии по второму межреберью, после обеззараживания участка кожи, обработанного обезболивающим местного действия, по верхнему краю ребра.

Спустя шесть или двенадцать часов после откачивания воздуха делают повторную рентгенограмму, и если на снимках присутствуют остатки воздуха, пункцию повторяют.

По истечении двух-трех дней после откачивания производят дренирование плевральной полости при пневмотораксе.

банка БоброваЧтобы поставить дренаж выполняют троакаром делают пациенту прокол в положении сидя, предварительно местно обезболивая область манипуляции в районе второго межреберья раствором новокаина. Введенный дренаж фиксируется, и для пассивного аспирирования (откачивания) воздуха присоединяется к банке Боброва.

В целях воспрепятствовать накоплению жидкости между листками плевры, а также в качестве профилактики рецидивов используют плевродез. Плевродезом называют воздействие на плевру химическими веществами или механически, что приводит к искусственному воспалению плевры и сращению ее листков между собой. После первого случая возникновения пневмоторакса, в профилактических мерах пациенту при отсутствии противопоказаний назначается плеврэктомия (удаление части листка плевры). Реабилитация после таких операций обязательно включает в себя дыхательную гимнастику, с целью максимального восстановления жизненной емкости легких.

Осложнения

Как и искусственный, спонтанный пневмоторакс может протекать с осложнениями различной степени тяжести.

Наиболее серьезные осложнения являются:

  • эмфизема подкожная или мышечная — выход воздуха непосредственно в мышцы или под кожу;
  • пневмомедиастинум – попадание воздуха в средостение;
  • кровотечение внутри плеврального пространства;
  • патологическое смещение средостения;
  • серозный гидропневмоторакс;
  • инфицирование и последующее воспаление полости плевры (эмпиема).

Последствия, возникающие после появления пневмоторакса могут быть очень серьезными, например:

  • пневмогемоторакс (к воздуху добавляется кровь);
  • острая дыхательная недостаточность;
  • сердечная недостаточность различной степени тяжести;
  • реактивный плеврит.

Симптомами спонтанного пневмоторакса с  гемотораксом будут симптомы острой кровопотери. У больного отмечается:

  • падение артериального давления;
  • бледность кожных покровов;
  • учащенное сердцебиение.

Прогноз

При пневмотораксе, вызванном хроническими заболеваниями прогноз менее благоприятный,  чем при травмах, например. Однако и при них неоказание своевременной первой медицинской помощи может привести к серьезным осложнениям. Для спасения пострадавшего, в целях его адекватного лечения производится безотлагательная госпитализация в отделение экстренной хирургии ближайшего медицинского учреждения.При своевременном же лечении угроза жизни будет небольшая, а прогноз — благоприятным.

При напряженном  пневмотораксе, если лечение будет несвоевременным либо непрофессиональным, велик риск наступления летального исхода.

Очень опасным для жизни будет и двухстороннее заполнение плевральной полости воздухом.

Воздух в плевре при туберкулезе

Одним из основных неспецифических осложнений, возникающих при заболевании туберкулезом легких, наряду с кровохарканьем или кровотечением, является закрытый спонтанный пневмоторакс.

Причины появления

При туберкулезе органов дыхания воздух часто начинает поступать из легких в плевральную щель через:

  • разрывы буллезной эмфиземы легкого (самая частая причина);
  • поврежденные казеозные очаги и каверны (реже).

Лечение

Лечение пневмоторакса производится параллельно  с терапевтическими мерами против туберкулеза. Больному в полусидячем положении производят дренаж,  вводя морфина гидрохлорид в целях купирования болей и подавления кашлевого рефлекса.

Если консервативные методы лечения не приносят результата, больному проводят торакотомию, а также ушивают или ампутируют поврежденное легкое.

Прогноз

Прогноз зависит от течения основного заболевания, поскольку именно туберкулез является причиной возникновения рецидива проникновения воздуха внутрь плевральной полости.

 

 

 

Ссылка на основную публикацию